少儿编程 > 文章资讯 > 3D打印 > 用3D打印件和智能手机DIY一个活细胞成像设备
用3D打印件和智能手机DIY一个活细胞成像设备
童程童美 2016-12-27
近日,瑞典乌普萨拉大学的研究人员发明了一种成本低廉、易于组装的活细胞成像设备。该设备由一部智能手机、几个3D打印部件、一些现成的电子器件和一台标准的倒置显微镜组成。
摘要近日,瑞典乌普萨拉大学的研究人员发明了一种成本低廉、易于组装的活细胞成像设备。该设备由一部智能手机、几个3D打印部件、一些现成的电子器件和一台标准的倒置显微镜组成。
“我们的目标是让发展中国家的实验室拥有细胞实时成像技术,这个项目告诉大家3D打印将如何改变世界各地的科学家的工作方式。在资金有限的情况下,3D打印为研究人员使用曾经非常昂贵的研究方法提供了可能性,”乌普萨拉大学医学细胞生物学系的高级讲师Johan Kreuger解释说。
对于研究细胞如何对不同的刺激进行反应而言,能够进行细胞的实时成像至关重要。细胞的记录视频同样重要,相比所能获得的静态图像,视频能提供更多更详细的信息,研究人员借此也能在一段更长的时间内研究细胞行为。
这项研究发表在《PLOS ONE》期刊上,其中涉及到升级旧有的标准倒置显微镜,大多数大学和医院都配备有多台这种显微镜。据了解,升级所需要的设备包括一些3D打印组件、能在商店购买到的电子器件和一部智能手机。研究结果表明,升级后的系统提供了良好的细胞培养条件,并且能对真实的活细胞进行高分辨率的成像。
“您可以3D打印一些部件来固定您的手机,以及一个小型孵化器来让细胞在其中成长,孵化器会将细胞加热至37摄氏度,与人的体温一样,”Kreuger解释说,“您还需要一些现成的消费电子产品,对任何一个懂一点技术的人来说,这非常简单。”
虽然这款DIY设备不具备一台昂贵的实时成像显微镜的所有功能,但也已经非常接近了。Kreuger指出,现在的许多智能手机都配备有可以捕获细胞的多功能相机。研究团队还开发了一款APP,用户可直接用手机控制温度和进行时间推移成像。
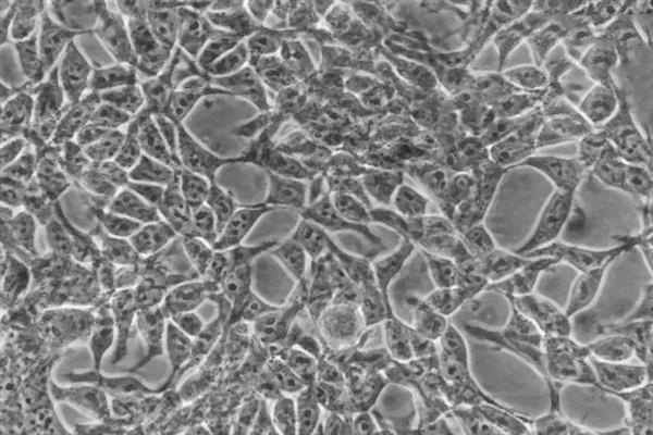
实验室培养的人类肾细胞,图片由本文所提到的DIY设备上的智能手机拍摄
研究表明,这款DIY设备有效地实现了活细胞的高分辨率成像,同时也为细胞培养提供了极好的条件。该设备甚至还包括一个内置的湿度模块来为细胞培养维持必要的水分。
“研究人员可以根据自身的具体需求来改造这款设备,改造的成本很低,并且不难。事实上,在未来,科学家自己创造和改造研究设备将变得更加普遍,而这将大大推动技术的开发,”Kreuger说。可以毫不夸张地说,3D打印将继续在这种开发中发挥关键作用。
