少儿编程 > 文章资讯 > 3D打印 > 飞利浦发布其视觉分析和量化平台的最新版本
飞利浦发布其视觉分析和量化平台的最新版本
童程童美 2016-12-09
在本周于芝加哥举行的2016年北美放射学会年会上,荷兰技术公司飞利浦发布了其针对医学专业人士而开发的、先进而综合的视觉分析和量化平台的最新版本——IntelliSpace Portal 9.0。
摘要在本周于芝加哥举行的2016年北美放射学会年会上,荷兰技术公司飞利浦发布了其针对医学专业人士而开发的、先进而综合的视觉分析和量化平台的最新版本——IntelliSpace Portal 9.0。新版本提供3D渲染和3D打印功能,临床医生可利用其STL导出功能3D打印出高细节水平和高分辨率的医疗模型。此外,新版本还具有多模态功能和扩展了的神经工具。
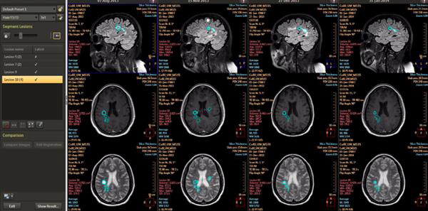
借助IntelliSpace Portal 9.0,医生可更好地研究治疗痴呆、中风、肌萎缩性脊侧索硬化(ALS)、多发性硬化(MS)等脑损伤和神经性疾病。
通过新的机器学习能力,IntelliSpace Portal 9.0用纵向脑成像(尚未批准在美国使用)等功能帮助放射科医生检测、诊断疾病并跟进疾病的治疗。纵向脑成像被用来对神经障碍进行纵向评估,这种持续监测功能使得临床医生可以跟踪疾病的发展状况。IntelliSpace Portal 9.0上还有CorTech Labs的测量应用程序NeuroQuant,临床医生可用它来确定脑体积的损失量。
“随着痴呆和神经变性的发病率上升,神经放射学家需要改进工具来帮助医生治疗这些具有挑战性的疾病,”美国大学医院克利夫兰医学中心(University Hospitals Cleveland Medical Center)的神经放射学科代理主任Leo Wolansky教授说,“IntelliSpace Portal 9.0提供了一整套强大的工具,借此神经放射学家能方便地测量疾病。”
虽然之前的IntelliSpace版本也有3D渲染和3D打印功能,但9.0版本将医疗3D打印功能改进到迄今为止的最高水平。据童程童美了解,通过新平台的STL导出功能,临床医生现在可以3D打印出高细节水平和高分辨率的医疗模型,借助这些高质量的模型,他们可以更好地了解患者的病情。新版本还有一个增强了的系统,并对心脏核磁共振分析(MR Cardiac Analysis)、CT TAVI规划等核心应用进行了更新。
“放射学具有影响和改善结果的独特能力,智能工具使我们能为放射科医生提供正确的信息,”飞利浦医疗IT的高级副总裁兼总经理Yair Briman说,“随着机器学习的进步,IntelliSpace Portal 9.0现在能不断学习用户的使用模式来提升放射科医生的重要的日常能力,如预处理图像,这样可以实现更快、更简化的诊断。”
IntelliSpace Portal 9.0的一个重要特点是医生可从医院网络的任何一个点上访问它。此外,它还与PACS和医院信息系统整合在了一起。这两点实现了广泛和快速的信息共享。这种远程访问加上其本身的扩展能力使得医疗人员可以随时随地地利用新平台上的多种工具。
新版本的其他改进包括增强了的MR Cardiac(如用于3D打印的全心脏STL导出)和对CT光谱应用的调整(如对临床应用的光谱诊断套件进行优化,使其可以查看和分析来自IQon Spectral CT扫描仪的光谱数据集)。
